What would you like to achieve in this lifetime? Maybe it’s fame, riches, or perhaps it’s finding a great love to build a life with.
A Glosman Smile: Rejuvenate Your Bite
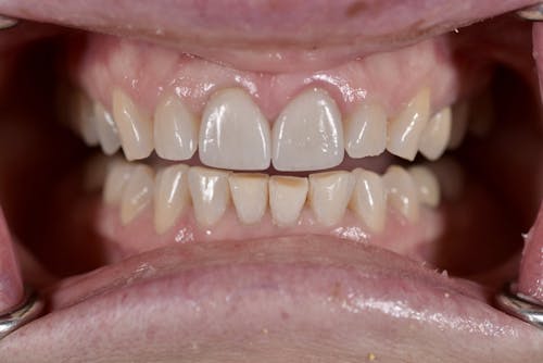
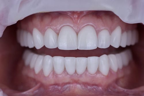
Take back your timelessly beautiful smile. With age, signs of a life well-lived can start to show on your teeth, extending to your face and overall appearance. As worn-down teeth can contribute to a tired, worn out look, Dr. Glosman has developed a procedure to rejuvenate your bite, reversing these undesirable effects and signs of aging.
Do you suffer from:
- Lip lines and drooping lips?
 - Thin or sunken-in lips?
 - Worn down or collapsed bite?
 - Grinding and temporomandibular joint (TMJ) issues?
 - Missing teeth?
 
You may be a great candidate for the Glosman DentaLift at our Beverly Hills studio. This exclusive procedure is designed to give you a distinctively Glosman look of rare beauty: sophisticated, elegant, alluring and timeless.









